Wednesday, May 6, 2015

Congenital Winged Scapula

Images of Congenital Winged Scapula

Inferior Angle Of The scapula - Wikipedia, The Free Encyclopedia
An abnormal protruding inferior angle of the scapula or winged scapula can be caused by a serratus anterior paralysis. Additional images Edit. Left scapula. Inferior angle shown in red. Animation. Inferior angles shown in red. Still image. ... Read Article

Sprengel's Deformity - About.com Health
Sprengel's Deformity is a condition of the shoulder seen in children. Children with Sprengel's Deformity have an undescended scapula that sits higher on the back than the other side. ... Read Article

Photos of Congenital Winged Scapula

Minimally Invasive Paediatric Cardiac Surgery
Congenital Cardiac Surgery, Morgan Stanley Children’s Hospital of New York-Presbyterian, Columbia University Medical winged scapula, chronic pain syndromes, and breast defmor . ies t i 19,20 To address these issues, VATS (Figure 4) ... Content Retrieval

Pictures of Congenital Winged Scapula

Sprengel's Deformity - Wikipedia, The Free Encyclopedia
Sprengel deformity (also known as High scapula or Congenital high scapula) is a rare congenital skeletal abnormality where a person has one shoulder blade that sits higher on the back than the other. ... Read Article

WINGING OF THE SCAPULA.,LONG THORACIC NERVE - Everything You ...
Share your videos with friends, family, and the world ... View Video

Congenital Winged Scapula Photos

Fixation Of Winged Scapula In Facioscapulohumeral Muscular ...
Fixation of Winged Scapula in Muscular Dystrophy During the physiological movements of the shoulder, the scapulothoracic joint muscles stabilize the scapula to the rib ... Retrieve Full Source

Congenital Winged Scapula Photos

MultipleCongenital Abnormalities - JAMA Network
Von Willebrand's Disease, and Bilateral Winged Scapula JayA. Cohen, Cliniciansdo not often diagnose multiple mutations, preferring to attribute congenital abnormalities to developmental problems or to the widespread effects of a single gene. Yet in lower forms,where geneticde-fects are ... View Full Source

Congenital Winged Scapula Pictures

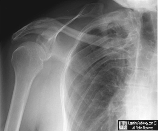
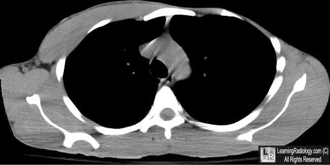
Incidental Finding Of Unilateral Isolated Aplasia Of Serratus ...
Winged Scapula Chest Radiograph Incidental Finding of Unilateral Isolated Aplasia of Serratus Anterior Congenital elevation of the scapula. J Bone Joint Surg Br 1972;54:395-408 6. Hegde HR, Shokeir MH. Posterior shoulder girdle abnor- ... Return Document

Photos of Congenital Winged Scapula

International Journal Of Medical Research Health Sciences
Because of a congenital defect in perichondrium 4. It’s frequently seen in the first two decades of life 4. osteochondroma of scapula: A case report & review of the literature. Japanese journal of clinical oncology 1999;29(7); 356-360 ... Access Full Source

Congenital Winged Scapula

Original Article
Congenital cardiac malformations. This approach results in division of the latissimus dorsi and serratus winged scapula in 77%; while 14% had asymmetry of the thoracic wall due to the atrophy of the serratus anterior muscle. Deformity of the thoracic cage was observed in ... Fetch Full Source

Congenital Winged Scapula Pictures

Overview - UC San Diego Department Of Anesthesiology
Overview Background Pre 24% with winged scapula Meier J et al. Endoscopic Management of Recurrent Congenital Tracheoesophageal Fistula: A Review of ... Visit Document

Photos of Congenital Winged Scapula


Upper End Unspec Part Ulnar Collateral Scapula Elevation Shoulder Region Ulnohumeral TRAUMATIC ARTHROPATHY HUMERUS FRACTURE, 736.89 Winged Scapula ENTHESOPATHY ELBOW REGION CONGENITAL ANOMALY/DEFORMITY. 813.02 Coronoid Process Ulna ... Read Document

Pictures of Congenital Winged Scapula

Winged scapula As The Presenting Symptom Of Chiari I ...
Winged scapula as the presenting symptom of Chiari I malformation and syringomyelia R. Shane Tubbs & W. Jerry Oakes sequels after thoracotomies in children with congenital cardiac disease. Cardiol Young 13:264–267 4. Bizzarri F, Davoli G, Bouklas D, Oncchio L, Frati G, Neri E et al ... View Document

Congenital Winged Scapula

RECORD OF PROCEEDINGS - AF
Neurologist later determined this to be probably a congenital condition. He was seen several more times examiner noted the diagnoses of right shoulder impingement and winged scapula. ... Doc Viewer

Congenital Winged Scapula Images

Incidence, Predictive Factors, And Prognosis For winged ...
Incidence, predictive factors, and prognosis for winged scapula Congenital and idiopathic winged scapula is rare [11]. There are few studies that assess the incidence and severity of this complication in axillary surgical treatment in ... Read Here

Congenital Winged Scapula Images

Reproductive Diseases - University Of North Carolina At ...
Congenital anomalies of the cervix and/or vagina. Vaginal adenosis. Cervical ectropion. nerve injury, winged scapula, rare is the development of angiosarcoma in the setting of long-term lymphedema (high grade sarcoma w/ rapid spread and dismal prognosis) Metastatic work-up = CT scan of chest ... Fetch Full Source

Congenital Winged Scapula Pictures

Thoracic Outlet Syndrome (TOS), Winged Scapula , Brachial ...
Winged Scapula, Brachial Plexus Compression 12. treatment without surgery If there is winging of the scapula, then special attention is paid to a neurolysis of the long thoracic nerve. A drain is put in your incision, and removed the next day. ... Retrieve Document

Pictures of Congenital Winged Scapula

Physical Therapy Evaluation Of The Shoulder Complex In Athletes
Quired or congenital), protracted shoulders due to tight pectoralis majors and minors (often seen in weight lifters), and a distracted or "winged" scapula (due to injury to the long thoracic nerve or a general weakness of the serratus anterior). ... Retrieve Here

Congenital Winged Scapula Photos

TREATMENT OFWINGED SCAPULA BY PECTORALIS MAJOR TRANSFER
TREATMENT OFWINGED SCAPULA BY PECTORALIS MAJOR TRANSFER JOHN ICETON, traumatic winged scapula. Thenerve wasexplored in Whitman A.Congenital elevation ofthe scapula and paralysis of serratus magnus muscle: operation. ... Fetch Document

Devin Alvarez (Sprengel’s Deformity) - Portrait Of Courage ...
Sprengel’s Deformity is rare congenital condition that leads to deformity of the pectoral girdle and can result in plethora of cosmetic and functional disabi ... View Video

Congenital Winged Scapula Photos

Unilateral Complete Congenital Serratus Anterior Muscle ...
Winged scapula. CASE PRESENTATION A 28-year-old white man was referred to the authors’ outpatient clinic by his primary care Congenital abnormalities of the scapula are not uncom-mon; however, little is known of the embryologic origin of ... Fetch Doc

Photos of Congenital Winged Scapula

Congenital Contracture Of The Infraspinous Muscle - Springer
K Kitano et al : Congenital Contracture of the Infraspinous Muscle Fig 1 Photograph of the left scapula Note the protruded me-dial border of the scapula (open arrow), and the band within ... View Doc

No comments:

Post a Comment